logo-zurnal24.si-full logo-zurnal24.si-reduced

Prvi pogled v rojevanje otroka

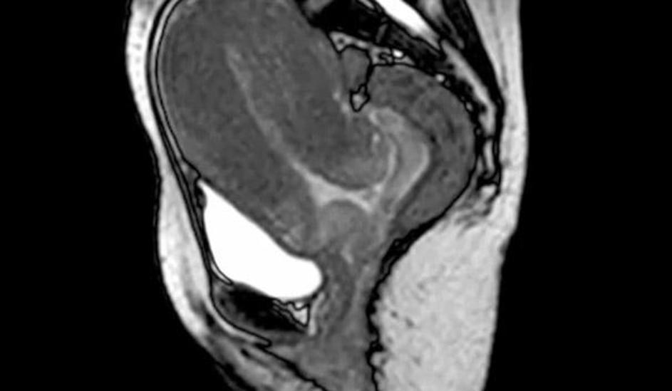
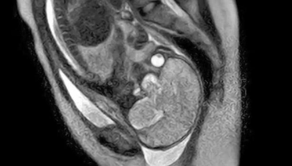
porod, snemanje, magnetna resonanca Žurnal24 porod, snemanje, magnetna resonanca
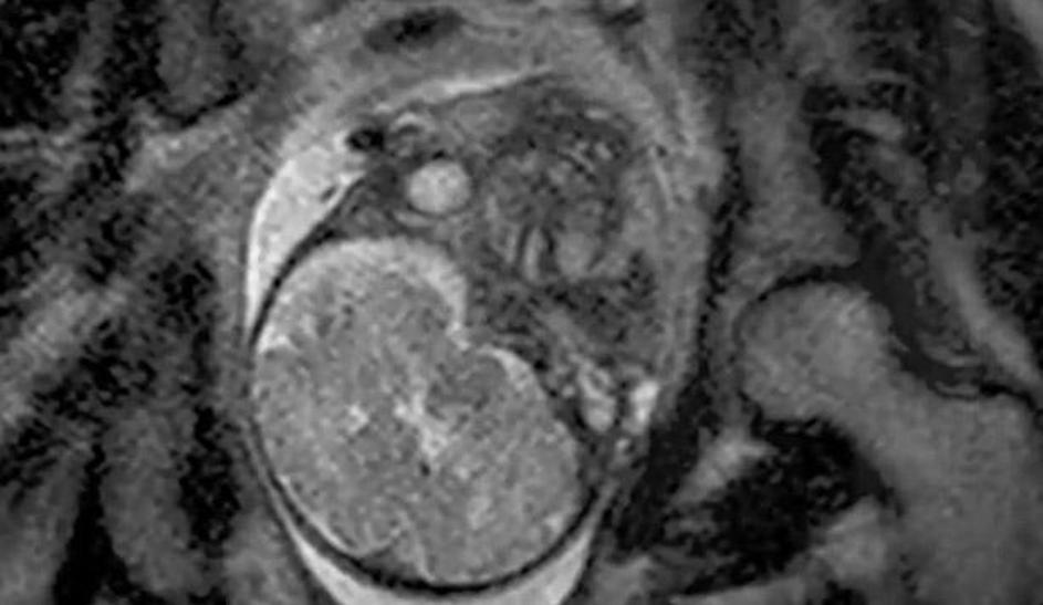
porod, snemanje, magnetna resonanca Poporodni pogled v notranjost maternice s placento. Žurnal24 porod, snemanje, magnetna resonanca
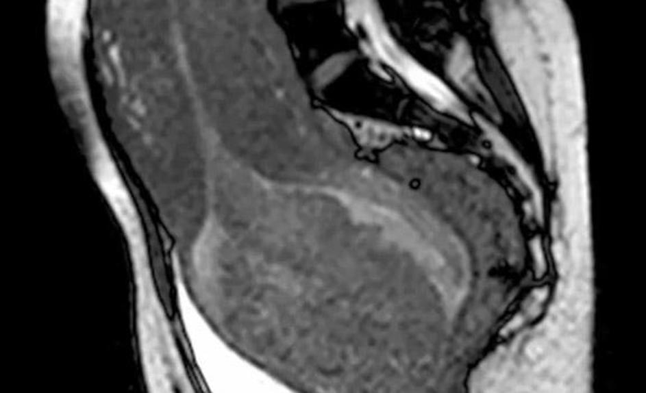
porod, snemanje, magnetna resonanca Poporodni pogled v notranjost maternice brez placente. Žurnal24 porod, snemanje, magnetna resonanca
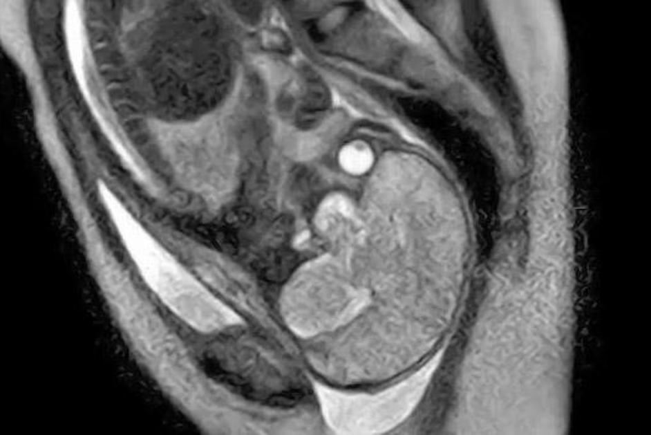
porod, snemanje, magnetna resonanca Sprednji pogled glave otroka v medeničnem vratu. Žurnal24 porod, snemanje, magnetna resonanca
MRI of Live Birth.flv
/ 5