logo-zurnal24.si-full logo-zurnal24.si-reduced

Moški tarnal zaradi bolečin v želodcu, zdravnike pa je skoraj kap

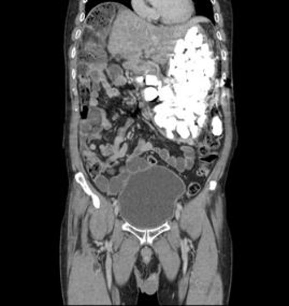
CT želodca American Journal of Medical Case Reports CT želodca
Gastroskopija American Journal of Medical Case Reports Gastroskopija
Dva kilograma kamenja v želodcu moškega American Journal of Medical Case Reports Dva kilograma kamenja v želodcu moškega
/ 3