Magazin > VIP

Ste izvedeli kaj koristnega, novega, zanimivega… Kliknite tukaj in Žurnal24 izberite za svoj prednostni vir novic na Googlu.

Manekenki žal, da si je dala za 14 centimetrov podaljšati noge

Theresia Fischer Instagram
Theresia Fischer je prestala zelo boleč poseg.

Theresia Fischer | Avtor: Instagram Instagram
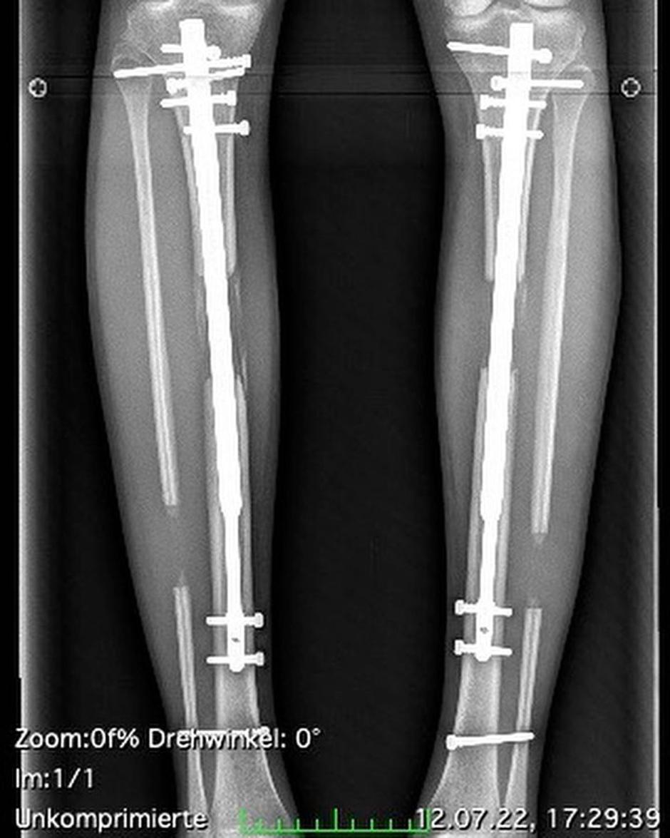
Nemška manekenka Theresia Fischer, znana iz šova Germany's Next Topmodel, si je dala podaljšati noge. Prestala je dve operaciji in "zrasla" za 14 centimetrov. Sedaj je visoka 184 centimetrov, idealna višina za delo v svetu mode. Za poseg je plačala 140 tisoč evrov. 

"8,5 cm + 5,5 cm = 14 cm!! Od moje druge operacije je minilo eno leto. Leto polno moči, energije in vzdržljivosti. Leto brez visokih petk. Leto, ki je spremenilo moje življenje," je bila sprva navdušena, sedaj pa priznala, da je bil poseg napaka. Bolečin še vedno ni pozabila ... "Jemati sem morala velike količine opiatov. Na trenutke nisem več vedela zase," je razkrila lepotica, pri kateri so se po operaciji pojavili nevarni zapleti - kar dvakrat je prišlo do okužbe v kosteh. Od operacije je minilo že eno leto, posledice pa občuti še danes, med drugim se vsako jutro zbuja zaradi krčev. "Moja hoja je za zdaj še trda, a to se bo izboljšalo, ko bodo marca 2024 odstranili palice," je razložila. 

Med zapletenim posegom marca 2022 so 30-letnici prežagali kosti spodnjega dela noge in ji z obeh strani vstavili palice, s katerimi si je lahko nato samostojno z navijanjem podaljševala noge - centimeter za centimetrom. "Ko sedaj pri 31 letih pomislim za nazaj, se vprašam: 'Theresia, kako slabo si se morala počutiti oziroma v kakšni situaciji si se takrat znašla, da si se spustila v to?'"

Ogorčenje nad posegom je bilo veliko, tudi med njenimi družinskimi člani. Lepotica poseg danes vsem odsvetuje. "Veliko sledilcev me je vprašalo, kje so izvedli poseg. Na ta vprašanja ne odgovarjam," je še razkrila.

 

Komentarjev 16
  • Cassandrayi_9321 03:16 20.junij 2025.

    🍓 Vroča dekleta čakajo na vas na 👉 𝗦𝗲𝘅𝘁𝗼.𝗹𝗶𝗳𝗲

  • leonardo 07:22 28.junij 2023.

    Pol "greha na neumnost" se ji lahko oprosti. Vsaj ne pove kateri bedaki v belem gredo v takšen nečloveški poseg. Lahko eksperimentirajo na živem človeku, vest jim pa ne da možnosti, da bi pomagali na smrt trpečim.

  • 4krogci 23:41 27.junij 2023.

    Jst bom tko reku...pr tko dolgih nogah, ma zdej pod pazduho in pr tamali kr skup kosmato! Naravna selekcija zadnje case skoz le bl zabusava!