Uporabno

Ste izvedeli kaj koristnega, novega, zanimivega… Kliknite tukaj in Žurnal24 izberite za svoj prednostni vir novic na Googlu.

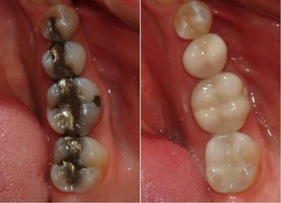
Zakaj je dobro zamenjati amalgamske plombe?

3ddent 3ddent
Zelo malo ljudi v sodobnem svetu ima tako zdrave zobe, da nima nobene plombe oz. zobne zalivke. Žal je ogromno zalivk še vedno amalgamskih.

Amalgam je material, za katerega se poraja veliko različnih pomislekov o njegovi uporabi. Glavna dilema o tem, ali zamenjati amalgamske zalivke ni samo estetska, temveč  so pomembni tudi njegovi učinki na telo. Estetsko zobozdravstvo je tako vedno bolj pomembno.

Kaj je amalgam?

Amalgam je zmes, ki je sestavljena iz kombinacije različnih kovin, kot so živo srebro, srebro, kositer, baker  in cink. Zmes lahko zobozdravnik odlično oblikuje, v 30ih minutah se strdi in se ob tem še nekoliko razteza. Vse več znanstvenih študij potrjuje škodljivost živega srebra na človeško telo. Če so prej zastrupljenost telesa z živim srebrom merili s preiskavami krvi in ugotavljanjem koncentracije te snovi v njej, pa so se zdaj usmerili v izsledke, da se živo srebro nalaga v maščobo živčnih ovojnic.

Zaradi domnevne toksičnosti in negativnega vpliva na okolje je več držav že prepovedalo uporabo amalgamskih zalivk. Ta strupena mešanica kovin naj bi po ugotovitvah povzročala celo vrsto obolenj, od avtizma do Alzheimerjeve bolezni, multiple skleroze, Parkinsonove bolezni in drugih oblik demence.

Evropska unija se zavzema, da bi ga v prihodnjih letih zamenjala z alternativnimi materiali, kot so steklasto-ionomerni cementi in kompoziti ali kombinacije obojega.

3ddent | Avtor: 3ddent 3ddent

Zakaj amalgam kljub oporečnosti številni zobozdravniki še vedno uporabljajo?

Eden od razlogov je v njegovi mehanski odpornosti, ki je bila v preteklem obdobju največje uporabe vseeno najboljša med vsemi materiali, ki so bili na voljo. Poleg tega je v zgodovini odigral pomembno vlogo pri zajezitvi bolezni zobne krone. Amalgamske zalivke so zelo trpežne in z ustrezno nego zdržijo 10 let in več. Zaradi svoje trdnosti lahko zapolnijo precej velike odprtine oz. v zobeh. So cenejše in predvsem primerne za bolnike z omejenimi denarnimi sredstvi. Imajo sposobnost hitrega strjevanja.

Katere so torej slabosti amalgamskih zalivk?

Problem je živo srebro, ki je ena izmed sestavin amalgama in povzroča fizične in psihološke težave ter neposredno vpliva na možganske funkcije. Čeprav redko, imajo lahko bolniki z alergijami na kovine, alergijsko reakcijo na amalgam. Amalgamske zalivke so bolj opazne in se lahko zaradi izpostavljenosti temperaturi razširijo in krčijo, kar povzroči, da se hitreje zlomijo oz. odkrušijo.

Danes so na voljo materiali, ki niso le obstojni dolgoročno, ampak manj škodujejo tako zobem kot zdravju.

Katere so alternativne možnosti materiala za uporabo v primerjavi z amalgamskimi zalivkami?

  • Prva možnost so glass-ionomeri oziroma steklasto-ionomerni cementi, ki se kemično neposredno vežejo z zobno substanco. Njihova slaba lastnost je, da so mehansko neobstojni in radi pokajo oziroma se krušijo.
  • Druga možnost so tako imenovani kompoziti plastičnih materialov in posebnih steklastih polnil, ki so se izkazali za obstojnejše.
  • Tretja, najbolj inertna in bio kompatibilna metoda, pa se je izkazala keramika. Inlay/onlay, kot jo strokovno imenujejo, je danes najbolj primerna rešitev za sanacijo zobne krone. Zahteva več dela in zahtevnejše postopke, kar seveda vpliva na precej višjo ceno.

Katere so prednosti kompozitnih zalivk?

So praktično nevidne, saj so barvno usklajene z vašo barvo zob. Uporabljajo se lahko za zapolnitev majhnih do zmerno velikih odprtin v sprednjih ali zadnjih zobeh. Zelo dobro se vežejo na zobno sklenino, zaradi česar je manjša verjetnost, da bodo zalivke izpadle iz zoba. Primerne so tudi za odpravo površinskih napak na zobeh (v primeru, ko se vam zob odkruši). Temperatura ne vpliva na raztezanje in krčenje kompozitnih zalivk.

3ddent | Avtor: 3ddent 3ddent

Imajo kompozitne zalivke kakšne slabosti?

Njihova življenjska doba je v povprečju pet do sedem let, kar je le približno polovica dobe amalgamske zalivke. Največkrat so dražje kot amalgamske zalivke. Namestitev take zalivke traja dlje, kar bi lahko predstavljalo težavo za ljudi s posebnimi potrebami in za otroke.

Kako poteka zamenjava amalgamskih zalivk?

Amalgamske zalivke se odstranijo s posebnim postopkom. Pri samem menjavanju amalgamskih plomb je potrebna previdnost, kajti ob brušenju se amalgam segreje in nastajajo plini, ki so škodljivi za naše telo.  Paziti moramo, da ne pogoltnemo prahu, ki se ob brušenju nabere. Zato pri odstranjevanju tega nevarnega materiala pomagajo najsodobnejši sesalni aparati, da ne prihaja do še večje zastrupitve organizma z amalgamom in živim srebrom ter ostalimi kovinami. Naloga zobozdravnika je, da poskrbi za čim boljšo zaščito pacienta pred dodatno zastrupitvijo.

Na odstranitev zalivk se je dobro pripraviti že nekaj tednov ali mesecev prej. Priporočljivo je uživati hrano, ki je bogata z vitamini in minerali. Pred posegom in po njem vam bo zobozdravnik svetoval, da jemljete zelene sladkovodne alge Chlorella vulgaris. Po odstranitvi amalgamskih zalivk je priporočljivo, da nadaljujete z razstrupljanjem še vsaj nekaj mesecev.

Za konec naj povemo, da je zamenjava amalgamskih zalivk za sodobnejše in bolj zdrave vedno odvisna od osebne izbire. Zamenjave ne krije obvezno zdravstveno zavarovanje, temveč jo je treba doplačati. Pomembno pa je, da za tako zahteven poseg izberete kakovostno zobno ambulanto, ki bo poskrebela, da bo zamenjava varna. 

Naročite se na stomatološki pregled in poskrbite za lep nasmeh še danes! Več na spletni strani www.3ddent.si.