Zdravje > Aktualno

Ste izvedeli kaj koristnega, novega, zanimivega… Kliknite tukaj in Žurnal24 izberite za svoj prednostni vir novic na Googlu.

Niso je jemali resno, poslali so jo k psihiatru

Sara Andreja Cilenšek
Preden so ji diagnosticirali tumor v glavi, je več kot pol leta obiskovala psihologe in psihiatre, jemala je antidepresive in na koncu zaradi številnih tablet razmišljala tudi o samomoru. Zdaj so glavoboli neznosni, veliko bruha, izgublja spomin, upanje pa ji daje operacija v tujini.

Sara je prve težave opazila pred letom in pol, ko je v glavi čutila čuden pritisk, ki ga pred tem ni bilo. “Spomin je bil veliko slabši, glava pa utrujena, kaos misli znotraj glave. Kronična utrujenost po desetih urah spanja me je začela spremljati skoraj skozi vsak dan,” pojasnjuje. To stanje je trajalo nekaj mesecev, čez čas se je le še stopnjevalo, spomin je postal tako slab, da ni več vedela, kaj je počela čez dan, s kom je bila, kaj je jedla za kosilo.

“Zbujala sem se izčrpana. Kamorkoli sem šla in karkoli sem počela, me je nenormalno utrudilo,” pravi in dodaja, da je dotedanja zdravnica ni jemala resno in je ni želela poslati na magnetno resonanco (MR) glave, češ da njenih simptomov ne more povezati z nikakršno nevrološko boleznijo. Poslala jo je k psihiatru ter psihologu. Tako je več kot pol leta hodila okoli psihiatrov in psihologov. Zdravnike je opozarjala, da ji tablete ne izboljšujejo zdravstvenega stanja, a pojasnjuje, da niso vedeli, kje tiči vzrok: “Zato so mi ponujali različne antidepresive, da sem bila od tega že čisto zmešana, kar me je porivalo v globlje vrzeli dvomov in obupa. Na koncu sem že razmišljala o samomoru.”

Odkrili so razlog za težave 

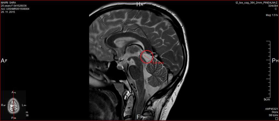
Nato je zamenjela osebno zdravnico. Pojasnjuje, da jo je nova zdravnica jemala bolj resno in jo poslala na vse potrebne preiskave, med drugim tudi na MR glave, ki je bil odločilnega pomena za odkritje tvorbe, ki ji je ves čas povzročala številne težave. MR je odkril benigni tumor na pinealni žlezi v glavi dolg 16 milimetrov in širok 10 milimetrov.

“V zadnjih mesecih so se mi simptomi le še krepili, začele so se tudi čudne vrtoglavice z velikimi motnjami ravnotežja, ki jih prej nisem imela. Prav tako me zadnje mesece pestijo zelo čudni in močni glavoboli, bolečine včasih komaj prenašam, saj so te neznosne,” opisuje. Zbuja se izčrpana, velikokrat zelo slabotna, tudi bruha.

Sara slika glave | Avtor: Andreja Cilenšek Andreja Cilenšek

Zakaj v tujino

“Trije od štirih slovenskih zdravnikov so bili nenaklonjeni operacijskemu posegu, saj moj benigni tumor pinealne žleze po njihovem ne bi smel povzročati težav,” pravi. Dodaja, da so zdravniki hkrati izkazali zaskrbljenost, saj je sama lokacija tumorja izrazito globoko v glavi, kjer lahko pride pri klasičnem posegu zelo hitro do nepopravljivih težav, tudi smrti. “Edini slovenski nevrokirurg, ki je tovrstne tumorje že operiral in pozna simptome takšne tvorbe, je bil mnenja, da je moj benigni tumor velik in je potrebnen operativni poseg, saj bodo čez čas težave vedno večje,” pravi.

Sara pojasnjuje, da je ta rešitev preveč inavazivna (kraniatomija) in s samim posegom prinaša veliko nepredvidljivih negativnih posledic, med katerimi so jo močno opozarjali tudi na smrt med samim posegom.

Zato je kontaktirala nemškega nevrokirurga, ki je opravil okoli 40 operacij pinealnih tumorjev, ki je po njenih besedah veliko manj invazivna metoda, kot se uporablja pri nas, imenuje se microsurgical superacerebellar-infratentorial approach. “Vseh 40 posegov je bilo uspešnih, brez kakršnihkoli hujših posledic. Kontaktirala sem tudi z nekaterimi pacienti, ki jih je operiral omenjeni nevrokirurg in vsi so bili z njegovim delom izredno zadovoljni, saj poškodb tkiva, žlez ali drugih pooperativnih komplikacij ni bilo,” pravi. Večina simptomov je po njihovih zagotovilih izvenela brez kakšne dodatne pooperativne škode.

Ker bo celotna cena posega z operacijo, hospitalizacijo, laboratorijem in zdravili stala več kot 20 tisoč evrov, prosi za pomoč tudi Slovenke in Slovence. Na opracijo si želi iti čim prej, “saj tovrstne tvorbe rastejo in s tem povzročajo vedno večje težave in škodo, ki je lahko tudi nepopravljiva.” Dodaja, da je zdaj njeno življenje popolna žalost, saj je izgubila vse, kar ji je od nekdaj največ pomenilo: “Moja glava ne pomni več, telo je konstantno izčrpano, zato sem popolna razvalina že pri svojih 25-ih letih. Želim si le, da bi lahko spet normalno živela kot vsi ostali moji sovrstniki.”

anja.scuka@zurnal24.si

Komentarjev 15
  • Five 09:28 14.februar 2016.

    Brezdušno! Ob takšnih ljudeh si zaželim obilo zdravja in sreče.

  • saramavri 14:17 11.februar 2016.

    Nina zdravo :) za zdaj se tega nimam ne, če mi želiš donirati mi lahko tudi po pošti, go found me pa res nimam no :( najlepša hvala tudi za tvojo pomoč in dobroto! :)

  • nincag 14:04 11.februar 2016.

    Hej Sara! imaš mogoče kakšno gofundme stran prek katere se nakaže? Vse dobro in lp,Nina