Zdravje > Aktualno
2836 ogledov

V pljučih 47 letnika našli igračo

IBM
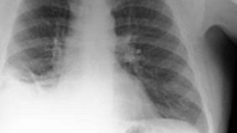
Rentgenska preiskava je pokazala na veliko senco v pljučih.

47- letni kadilec se je odpravil k zdravniku, ker je kar naenkrat začel izkašljevati rumeno sluz. Po tridesetih letih kajenja se je moški upravičeno zbal, da ima raka na pljučih.

Rentgenska preiskava je pokazala na veliko senco v pljučih, po temeljitem pregledu pa so zdravniki ugotovili, da ima moški v pljučih stožec. Šlo je pravzaprav za igračo oziroma prometni stožec iz kompleta igrač znanega proizvajalca igrač Playmobil. Moški se je pozneje spomnil, da je to igračo dobil kot darilo za svoj sedmi rojstni dan. 

Rapunzelov sindrom Zdravje To so našli v prebavilih 20-letnega dekleta

Celih 40 let je imel v pljučih tujek. Članek, objavljen v znastveni reviji IBM navaja, da je moški zdravnikom dejal, da se je v mladosti "pogosto in zelo rad igral s temi igračami in kakšno tudi vdihnil." 

 | Avtor: Profimedia Profimedia

Kot navaja BBC, je zdravnike najbolj presenetilo dejstvo, da je ta kos plastike ostal neopažen kar štiri desetlja, moški pa medtem ni čutil težav, vse dokler ni začel kašljati.

Edinstven primer

Zdravniki so mnenja, da so se dihala enostavno prebolikovala in prolagodila tujku v telesu, ker je moški stožec vdihnil, ko je bil še otrok. "Čeprav ni nič nenavadnega, da bi otroci zaužili ali vdihnili majhne igrače, je ta primer neobičajen zato, ker so se se simptomi pojavili po tako dolgem času," piše v opisu primera.

Video Zdravje To so pozabili v njenem želodcu

Štiri mesece po odstranitvi drobnega prometnega stožca je bolnikovo kašljanje skoraj izginilo, njegovi simptomi pa so se znatno izboljšali, so zapisali v poročilu.

 | Avtor: IBM IBM

Komentarjev 1
Napišite prvi komentar!

Za komentiranje je potrebna prijava/registracija. Če nimate uporabniškega računa, izberite enega od ponujenih načinov in se registrirajte v nekaj hitrih korakih.