Zdravje

Ste izvedeli kaj koristnega, novega, zanimivega… Kliknite tukaj in Žurnal24 izberite za svoj prednostni vir novic na Googlu.

Video: Strašljive posledice, ki jih povzroči covid-19

Rentgenska slika pljuč Youtube/prtscr
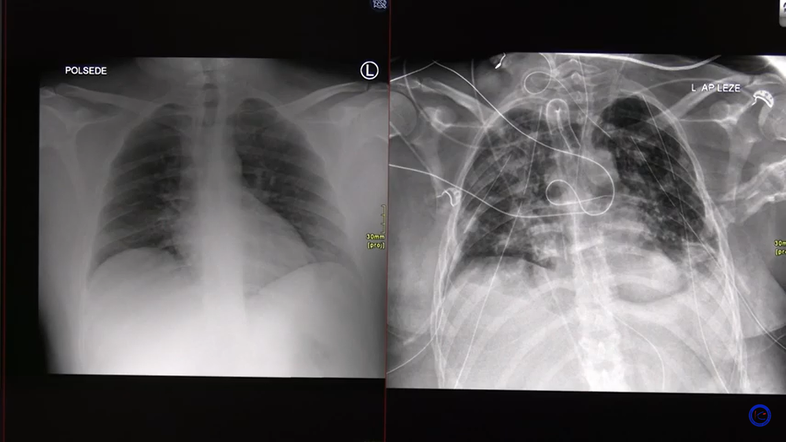
Dva primera covid pljučnice - pri enem bolniku se je stanje relativno hitro izboljšalo, drugemu, le 30-letnemu bolniku, pa so morali presaditi pljuča.

Zdravnik Matjaž Turel je s pomočjo rentgenskih in CT posnetkov predstavil dva primera potekov covid pljučnice. Kot je pojasnil, se pri 90 odstotkih bolnikov pljuča lepo popravijo. A vseeno se lahko zaplete.

Pri prvem bolniku na rentgenski sliki sprva ni bilo videti kakšnih velikih sprememb, le nekaj meglic. Le štiri dni po tem pa je prišlo do poslabšanju stanja. Bolnik je prejemal kisik, a so se meglice začele gostiti, po obeh pljučnih krilih so se pojavili madeži, ki so dva dni kasneje postali še bolj gosti. V pljučih se je razplamtelo vnetje, ki ga je povzročil koronavirus, je pojasnil Turel. Stanje se je k sreči stabiliziralo, bolnik je potreboval le kisik, respiratorja pa ne. Stanje se je nato izboljšalo, zato je bil bolnik odpuščen v domačo oskrbo.

Mesec po prihodu v bolnišnico je bilo na CT-ju videti še nekaj sprememb in brazgotin, a se je stanje izboljšalo, je povedal zdravnik. "Lani smo mislili, da bo veliko brazgotin ostalo, vendar posnetek po zadnji kontroli v oktobru kaže, da so skoraj vse spremembe izginile."

Pred dvema tednoma so v UKC Ljubljana presadili pljuča mamici po porodu. Po intenzivnem zdravljenju, transplantaciji pljuč, jo čaka še dolga rehabilitacija in doživljenjsko jemanje zdravil, so sporočili.

Na drugem posnetku pa Turel opisuje zelo težko obliko covid-19 pljučnice pri 30-letniku, ki se je končala s presaditvijo pljuč.

Kot pojasni, je bolnik nekaj dni po okužbi začel težko dihati, zato je prišel v bolnišnico. Na rentgenskem posnetku sprva ni bilo videti kakšnih bistvenih sprememb. Vendar je bila očitno povzročena tako akutna okvara, da ga je bilo kmalu treba priklopiti na respirator, je povedal. Pljuča so bila v celoti megličasta, zaradi okvare je prišlo do razpoka pljuč, kar po besedah zdravnika ni ravno redek pojav. Stanje se je še naprej slabšalo, po treh dneh so pljuča postala povsem bela, niso bila več sposobna izmenjavati kisika iz okolja, niti s pomočjo respiratorja, zato so morali bolnika priklopiti na izventelesno membransko oksigenacijo. Vendar se pri tem bolniku pljuča niso dobro popravljala, zato je bila potrebna presaditev. Nekateri bolniki to fazo prebrodijo tudi brez presaditve, je povedal strokovnjak.

Kot pojasnjujejo v UKC Ljubljana, so v dveh letih presadili pljuča 27 bolnikom – od tega je bilo pet presaditev potrebnih zaradi posledic covida-19.

Turel je nato pokazal presajena pljuča, sicer utrujena od presaditve, vendar funkcionalna. Bolniki, ki so preboleli tako hudo obliko covida-19, niso bili prizadeti le na pljučih, na dolgotrajnem zdravljenju oslabijo mišice, shujšajo, po presaditvi pljuč pa je potrebna kar dolga rehabilitacija. Življenje po njegovih besedah ni povsem enako kot pred presaditvijo, vendar se lahko bolniki funkcionalno popravijo, čeprav morajo še vedno jemati zdravila proti zavrnitvi organa, ki niso brez stranskih učinkov. Turel je bolnika poklical pred nekaj dnevi in izvedel, da vsak dan prehodi že več kot tri kilometre in se postopoma privaja na novo življenje.

V covid obdobju so v UKC Ljubljana opravili 197 transplantacij organov. Presadili so 38 src, 40 jeter, 90 ledvic, 2 trebušni slinavki in 27 pljuč.

dezurni@styria-media.si

Komentarjev 1
Napišite prvi komentar!

Za komentiranje je potrebna prijava/registracija. Če nimate uporabniškega računa, izberite enega od ponujenih načinov in se registrirajte v nekaj hitrih korakih.