Prijava Facebook prijava
logo-zurnal24.si-full logo-zurnal24.si-reduced
  • Slovenija
    • Slovenija
    • Intervjuji
    • Komentarji in kolumne
    • Črna kronika
    • Festival za ljubitelje živali
    • E-Life
    • Poglej rubriko
  • Svet
  • Šport
    • Šport
    • Olimpijske igre
    • Nogomet
    • Košarka
    • Moto športi
    • Kolesarstvo
    • Zimski športi
    • Poglej rubriko
  • Magazin
    • Magazin
    • VIP
    • Film & Glasba & TV
    • Bizarno
    • Lepota & telo
    • Odnosi in prosti čas
    • Horoskop in Numerologija
    • Joonglaa
    • Poglej rubriko
  • Zdravje
    • Zdravje
    • Eko kotiček
    • Fitnes
    • Aktualno
    • Otrok
    • Življenjski stil
    • Prehrana
    • Intima
    • Sem s teboj
    • Poglej rubriko
  • Avto
    • Avto
    • Testi
    • Avto nasveti
    • Kombinirana
    • Na Štrom
    • Iz druge roke
    • Šofer naj bo
    • Poglej rubriko
  • Popotnik
  • Pod Streho
    • Pod Streho
    • Gradimo & Obnavljamo
    • Nepremičnine
    • Varčna Hiša
    • Na vrtu
    • Poglej rubriko
  • Trajnostno
  • Novice
  • Žurnal priporoča
  • Moj sanjski šiht
Spremljaj nas:
Najdenih 1 rezultatov za „

Carolina Reaper čili

”
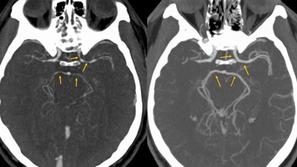
Zožitev arterij

Čili: Po zaužitju popularne zelenjave so ga odpeljali na urgenco

Računalniška tomografija glave pokazala, da so se moškemu močno zožile arterije.
logo-zurnal24.si-full logo-zurnal24.si-reduced
  • O žurnalu
  • Uredništvo
  • Oglaševanje
  • Zaposlitev
  • Pravno obvestilo
  • Kodeks
  • Piškotki
  • Nagradne igre
  • Pravila zasebnosti
  • RSS
Spremljaj nas
Partnerji:
  • Vreme.net
  • bolha.com
  • med.over.net
  • Style.Over.Net
Powered by: Publitzer
Copyright 2026. Zurnal24 | Styria Media si

Žurnal24.si je osrednji slovenski novičarski portal, ki se po dosegu uvršča med prve tri najbolj obiskane slovenske spletne strani. Žurnal24 je mesto, kjer lahko prebirate aktualne, ekskluzivne, domače, tuje in slovenske novice. Naši novinarji se pri svojem delu najstrožje držijo novinarskega kodeksa in informacije striktno preverjajo. Navajajo vire, kar žal ni praksa v slovenskem medijskem prostoru in dajejo v svojih novicah prostor vsem, ne glede na politično ali kakršno koli drugo pripadnost. ... Preberi več