Zdravje > Prehrana

Ste izvedeli kaj koristnega, novega, zanimivega… Kliknite tukaj in Žurnal24 izberite za svoj prednostni vir novic na Googlu.

Čili: Po zaužitju popularne zelenjave so ga odpeljali na urgenco

BMJ
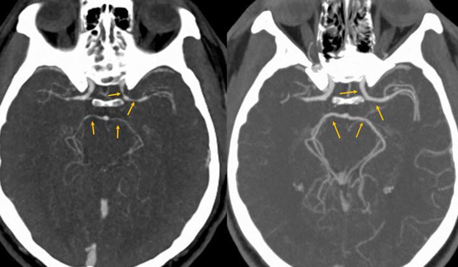
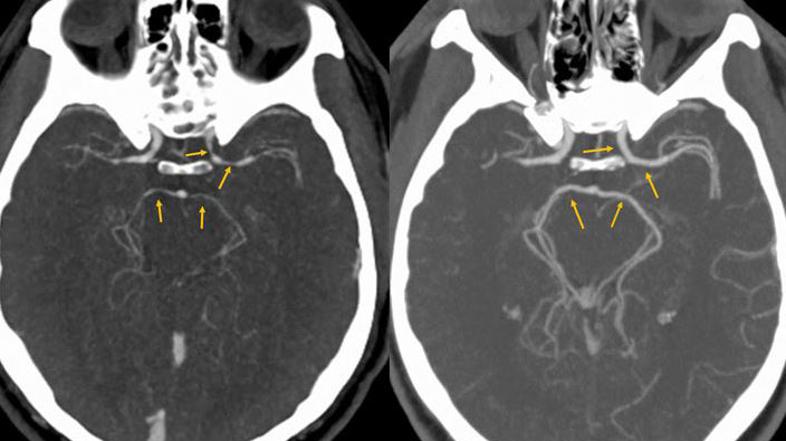
Računalniška tomografija glave pokazala, da so se moškemu močno zožile arterije.

Čili ne povzroča le bolečine v ustih in žrelu, lahko bi bil tudi vzrok za hude glavobole, je pokazal primer moškega, ki zaužil najbolj pekoči čili na svetu. Moškega je takoj potem, ko ga je pojedel začela močno boleti glava, zaradi česar so ga morali odpeljati na urgenco. 

Zdravniki so primer objavili v znanstveni reviji  BMJ (British Medical Journal Case Reports), kot prvi znani primer sindroma reverzibilne možganske vazokonstrikcije - začasnega zoženja arterij v možganih - zaradi zaužitja pekočega čilija.

 | Avtor: Profimedia Profimedia
Posledice zoženih arterij, ki so sicer pogoste pri nosečnicah ali pri ljudeh, ki uživajo drogo, lahko privedejo do bliskovitih in udarnih glavobolov, raziskavo povzema Science News. 

Kralj čilijev

Moški je na tekmovanju uživanja pekočih čilijev pojedel čili Carolina Reaper, ki velja za najpikantnejši čili na svetu in ki je zaradi uvrščen tudi v Guinnessovo knjigo rekordov. 

Za primerjavo, Carolina Reaper je več kot dvestokrat bolj pekoč kot bolj znani jalapeño. Učinek je bil takojšen; moški je že minuto po zaužitju dobil sunkovite glavobole, ki niso pojenjali, zato je čez dva dni poiskal zdravniško pomoč. 

Zoženje žil

Prvi pregledi niso odkrili ničesar nenavadnega. Računalniška tomografija glave pa je pokazala, da so se moškemu močno zožile arterije. Po zdravljenju, ki je vključevalo hidratacijo in uživanje protibolečinskih tablet, so se glavoboli končali. Pet dni kasneje so slike možganov pokazala, da so arterije vrnile v običajno velikost.  

čili z govedino Zdravje Kdo poje najbolj pekoč čili

Glede na takojšnji pojav simptomov po zaužitju čilija, je zoženje ožilja najverjetneje povzročil kapsaicin, ki ga vsebuje čili, je dejal soavtor raziskave Kulothungan Gunasekaran, strokovnjak za internistiko v bolnišnici Henry Ford v Detroitu.

 | Avtor: BMJ BMJ
 

Komentarjev 1
Napišite prvi komentar!

Za komentiranje je potrebna prijava/registracija. Če nimate uporabniškega računa, izberite enega od ponujenih načinov in se registrirajte v nekaj hitrih korakih.