Zdravje > Aktualno

Ste izvedeli kaj koristnega, novega, zanimivega… Kliknite tukaj in Žurnal24 izberite za svoj prednostni vir novic na Googlu.

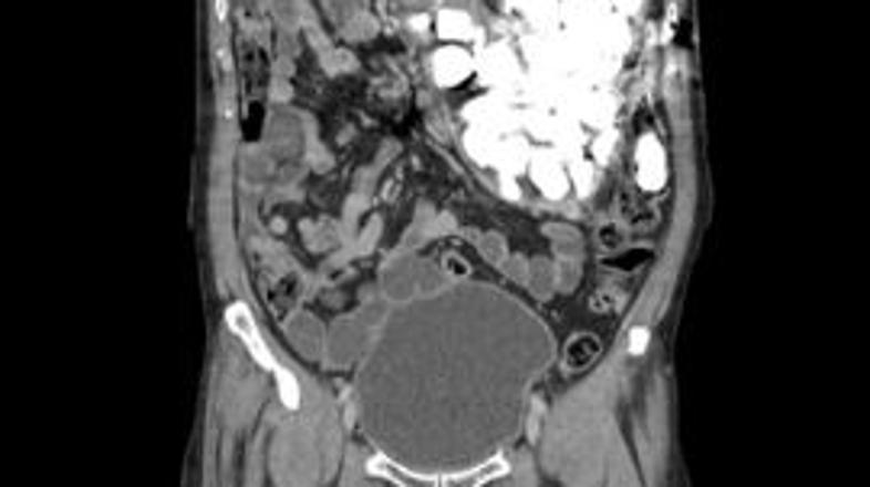
Moški tarnal zaradi bolečin v želodcu, zdravnike pa je skoraj kap

CT želodca
1/3
American Journal of Medical Case Reports
Poglejte, kaj so odkrili v njegovem želodcu.

54-letni neimenovani moški iz Južne Koreje je poiskal pomoč na urgenci zaradi močnih bolečin v želodcu, dežurni zdravnik je takoj opazil oteklino, ob dotiku pa začutil nekaj nenavadnega. 

Računalniška tomografija (CT)  trebušnih organov je pokazala, da je bolnikov želodec napolnjen s tujki, po pogovoru pa je Južnokorejec priznal, da je pogosto zaužil kovance in kamenčke. To je počel, ko je bil zaskrbljen, saj ga je takšno početje pomirilo. 

Naslednji dan je ekipa kirurgov počasi in previdno odstranjevala kamenčke, kovance in plastične pokrovčke, je v znanstveni publikaciji American Journal of Medical Case Reports ta nenavadni primer opisal vodilni kirurg  Pyong Wha Choi.

Gastroskopija | Avtor: American Journal of Medical Case Reports American Journal of Medical Case Reports
"Kirurški poseg je bila neizogiben, saj je bilo za endoskopijo preveč tujih teles,"  je zapisal zdravnik.

Moškega z duševno motnjo so po devetih dneh odpustili iz bolnišnice, kako dolgo so se tujki nabirali v njegovem telesu, zdravniki niso izvedeli.

Dejstvo je, da je zbirka kamenčkov in pokrovčkov, ki so jo potegnili z želodca tehtala kar dva kilograma. 

Zdravnik je še dodal,  da je zaužitje tujkov pogostejše pri otrocih, ki se jim to zgodi po nesreči. Zdravi odrasli po njegovih izkušnjah najpogostej zaužijejo ribje in piščančje kosti. 

Zobotrebci, lasje, kovanci...

Vendar zdravniki po svetu precej pogosto poročajo o "nenavadnih odkritjih" oziroma tujkih, ki so jih hote ali nehote zaužili odrasli.

Rapunzelov sindrom Zdravje To so našli v prebavilih 20-letnega dekleta

Nazadnje smo na nešem portalu pisali o mladem Američanu, ki je nevede pogoltnil zobotrebec, 7,5 centrimetrov dolgi leseni tujek je prepotoval večino njegovega prebavnega trakta, ne da bi ga pri tem poškodoval. Za tem se je ustavil, skozi črevesno steno prebodel arterijo in tako ustvaril idealne pogoje za bakterije, ki so napadle njegov krvni obok. Poškodovana arterija je povzročila tudi resne krvavitve in zdravniki so mu zadnji trenutek rešili življenje. 

 

 

Komentarjev 3
  • a04fcc1478065fdf1a95135fefb1e4e18500f9f6 14:59 20.februar 2019.

    Baje da so za vernike v kvazi znanost take raziskave fake, izmišljotine, teorije zarote in podobno. Imam v mislih raziskavo o case-report, katero še danes na plano vlečejo ti verniki, kao da je fake in to po 21-ih letih.

  • kapibara 12:41 20.februar 2019.

    Ta ne dobi službe v kamnolomu - firma bankrotira zaradi požrešnosti..